中新网黑龙江新闻12月11日电(李盼)“医生,医生!快救救我爱人!”12月9日下午,哈尔滨市第二医院急诊科大厅内,一位患者家属上气不接下气地喊道。急诊科医护人员见状,迅速反应并与心血管内三科联合,争分夺秒展开救治,成功逆转心梗患者的“生死局”。
今年54岁的张先生,两天前因咽部及前胸部阵发性疼痛,并伴有咽部灼烧感及恶心等症状,被家人紧急送至哈尔滨市第二医院急诊科。急诊科郭可新医生接诊后,立即为患者进行心电图检查,结果提示患者高侧壁ST段轻度上斜型改变,下壁ST段轻度下移,考虑可能为急性心肌梗死。急诊科张瑞主任立即请心血管内三科医生李云露会诊,同时为患者进行心梗三联检查和D-二聚体检查。

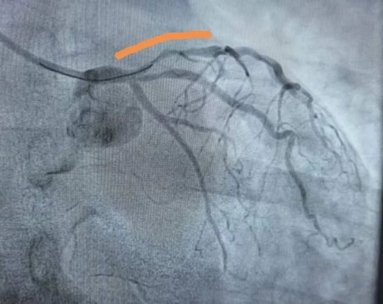
左前降支近段闭塞,回旋支严重狭窄
就在急诊科护士为患者进行采血时,患者突发意识丧失,心电监护显示为心室颤动。“快!立刻进行抢救!”张瑞主任与陈冬旭医生立刻为患者电除颤、吸氧。经过一系列的抢救后,张先生心电图结果竟显示出现了急性前壁心肌梗死。“如不及时抢救,极有可能再次发生室颤和心脏骤停的风险!”

患者入院心电检查:高侧壁ST段轻度上斜型改变,下壁ST段轻度下移

房颤,I、AVL、V2-V4导联ST段抬高
由于患者情况危急,医院立即启动胸痛中心绿色通道,导管室同步启动。随后,心血管内三科主任王爱华邀请哈尔滨市第二医院特聘专家周立君教授前来指导,梁庆辉医生与徐良医生共同为患者进行造影检查。检查过程中发现患者心脏左前降支近段闭塞,回旋支严重狭窄。在给予其球囊扩张、血栓抽吸等治疗后,胸痛症状逐渐缓解。因张先生术后突然出现右侧眼睑下垂,王爱华主任立即为其进行急诊颅脑CT检查,进一步排除了颅脑出血。患者既往有房颤病史,考虑眼睑下垂是因栓子脱落导致脑栓塞所致,随后转至心血管内三科继续治疗。

术后LAD血管开通,择期介入治疗
王爱华主任邀请眼科副主任田立朋与神经内科医生前来会诊。两科会诊均支持栓子脱落导致供应动眼神经本身的血管堵塞。由于患者目前面临冠脉内血栓和脑栓塞的风险,矛盾之处是抗栓治疗预防脑栓塞和心肌梗死再次发作与增加脑出血的危险。因此心血管内三科与神经内科经过缜密分析,选择进行抗栓治疗。经过介入治疗与抗心律失常、纠正离子紊乱、抗凝、抗血小板聚集等治疗后,患者最终脱离危险,转危为安。

患者术后房颤,抬高的ST段回落
据患者家属介绍,张先生是个“老烟民”,每天最少要抽一包,烟已经成了他生活的一部分,根本戒不掉。工作忙起来时抽得更多,所以这次急性心梗与他吸烟有很大的关系。“是你们的及时抢救,才挽救回他的生命,太感谢你们了!”患者爱人感激地说。
争分夺秒,生死时速。患者的“重生”,充分体现了哈尔滨市第二医院全体医护人员快速有效的应急处置能力、过硬的技术水平与团队协作精神。今后,哈尔滨市第二医院将继续以更快响应、更精诊疗、更优协作,为患者生命健康筑牢坚实防线。
科普小课堂
急性心肌梗死是高危胸痛中常见疾病之一,病情危急,死亡率高。冠脉介入治疗(血栓抽吸、球囊扩张、支架植入)是开通冠脉血供最有效的手段,抢时间意味着抢救心肌,存活心肌意味着生命与良好的预后。因此胸痛时一定及时就医,并及时拨打120。
急性心肌梗死的危险因素主要有高血压、糖尿病、高血脂、吸烟、肥胖,家族遗传等。大家比较重视高血压、高血糖、高血脂,往往忽视了吸烟。吸烟有害健康,不仅可以导致支气管炎肺气肿、肺癌等呼吸道疾病,更是心血管病发病的最重要的、独立的危险因素之一。吸烟可以通过使冠状动脉内皮功能紊乱、炎症反应加重、增加氧化应激、促进血栓形成、冠脉痉挛、胰岛素抵抗等机制诱发或加剧心血管疾病。
哈尔滨市第二医院急诊科张瑞主任表示,香烟是心血管的“催命符”,每日吸烟量超过20支的吸烟人群患冠心病的风险,是不吸烟人群的3.87倍。长期吸烟可使冠心病的病死率增加20-70%,吸烟使急性心肌梗死患病风险增加最高达7倍,吸烟可使心血管疾病发病年轻化,使首次发生心肌梗死时间提前10年。因此戒烟可以减少冠心病心肌梗死的发生。(完)




