哈医大四院成功完成高难度机器人辅助腹膜后肿瘤切除术
2025年12月11日 15:49 |
来源:中新网黑龙江
中新网黑龙江新闻12月11日电(刘璐)近日,哈医大四院普外五科陈之显主任医师团队成功完成一例高难度机器人辅助腹膜后肿瘤切除术。患者体检发现的这颗“定时炸弹”紧贴人体重要大血管,手术难度极大,在团队精准操作下,肿瘤被完整切除,患者恢复良好,即将康复出院。
一周前,王女士(化名)在体检中发现腹膜后肿瘤,为寻求最佳治疗方案,辗转千里来到哈尔滨。经多方推荐,患者最终选择哈医大四院普外五陈之显主任医师团队。腹膜后肿瘤手术因其位置深、解剖关系复杂,手术风险极高。接诊后,陈之显主任医师立即组织张雷主任医师、韩赫林主治医师等团队成员进行详细术前评估。

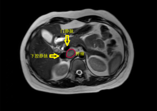
经过周密准备,团队决定采用机器人手术系统为患者实施微创手术。机器人手术系统具有放大的三维立体视野和7个自由度的仿真手腕器械,能够在狭小空间内完成精细操作,特别适合此类复杂解剖部位的手术。术中发现,肿瘤位于下腔静脉后方,与门静脉、左肾静脉及腹主动脉关系极为密切,稍有偏差就可能引发致命性大出血。在陈之显主任医师精准操控下,机器人机械臂灵活地在血管间隙中游走,一步步精细分离,完整保留了重要血管。

“手术过程可谓步步惊心”陈之显主任医师回忆说,“肿瘤就像长在血管壁上的‘顽石’,我们需要在不损伤血管的前提下将其完整剥离。”在团队成员紧密配合下,历时1小时,最终将肿瘤完整切除,重要血管毫发无损。患者术后恢复迅速,次日即可下床活动。

陈之显主任医师提示:腹膜后肿瘤早期无症状,体检时一旦发现“占位”,务必到经验丰富的中心评估。机器人微创技术并非“炫技”,而是让“不可切除”变为“可切除”,让“巨创”变为“微创”。
从辗转求医到重获新生,这台手术展现的不仅是哈医大四院普外五团队的精湛技艺,更是现代微创外科技术的卓越成就的缩影!(完)
【编辑:李香梅】




