中新网黑龙江新闻4月7日电(刘璐)在医学领域,腹膜后肿瘤因位置深、毗邻复杂,被称为外科手术的“雷区”。近日,哈医大四院普外五病房李广恩教授团队成功为一名患者实施腹膜后肿瘤切除术,破解了肿瘤与重要脏器血管“纠缠”的手术难题,使患者重获新生。
53岁的王女士(化名)下背部偶尔的胀闷感,无腹痛、无排便异常,甚至连体重都悄然减轻了5公斤。这些细微的信号,被她误以为是“劳累所致”,直到体检结果揭示真相——腹膜后肿瘤,这个人体腹腔深处、解剖结构最复杂的区域,竟悄然生长出一枚“不定时炸弹”。

腹膜后间隙是腹腔内最神秘的“角落”,这里不仅隐藏着肾脏、胰腺等重要脏器,更密布着腹主动脉、肠系膜血管等生命“大动脉”。肿瘤一旦在此生长,极易侵犯血管或压迫脏器,手术难度可想而知。面对这一诊断,王女士陷入深深的焦虑,最终慕名找到了哈医大四院普通外科五病房的李广恩教授。

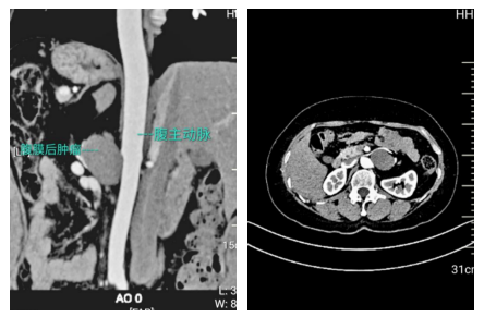
入院后,李广恩教授团队立即为王女士完善了腹主动脉CT造影(CTA)和上腹部增强CT检查,检查结果显示:腹膜后肿瘤与左肾血管分界不清,且紧邻胰腺、脾脏、腹主动脉等重要结构;更棘手的是,肠系膜上动脉存在“夹层”——血管内膜撕裂形成的假腔,如同在“生命管道”上凿出了一道裂痕,一旦术中操作不慎,可能引发大出血或肠缺血坏死。
经过2小时的鏖战,肿瘤被完整切除,同时为患者完美保护了所有重要血管及脏器的功能,术中出血仅100ml。

李广恩教授介绍道:患者的肿瘤位于左肾动静脉之间,这些组织像“胶水”一样粘在本就菲薄的左肾静脉上,稍有不慎就会造成难以控制的汹涌出血,既要保证肿瘤“整块切除”,又要保留左肾静脉及肠系膜上动脉的完整性,避免夹层破裂以及切除左肾,只能一点点轻柔分离。
术后,王女士在医护人员的精心照料下顺利恢复,未出现任何并发症。王女士激动地说:“李教授团队不仅切除了肿瘤,还保住了我的血管和脏器,现在吃饭、走路都和正常人一样!”
李广恩教授提醒大家:腹膜后肿瘤约占全身肿瘤的0.2%,但因其位置隐蔽、早期无症状,常在体检或出现压迫症状如腹痛、腰背痛、体重下降时才被发现。40岁以上人群应每年做一次腹部超声或CT检查,尤其是有家族肿瘤史者;若出现不明原因的腹痛、腰背痛、体重减轻,应及时就医排查。
此次手术的成功,不仅彰显了哈医大四院普外五病房在腹膜后肿瘤治疗领域的全省领先水平,更体现了团队“以患者为中心”的医者担当。未来,科室将继续深耕腹膜后肿瘤领域,以“精准医疗”守护患者生命。(完)




