中新网黑龙江新闻1月16日电(苑斯淇 赵博贤)近日,哈尔滨医科大学附属第一医院神经外科二病房陈晓丰教授团队创新运用神经导航下经颈椎肌肉间隙入路结合微创通道技术,仅通过2.5厘米微小切口,成功为一名62岁女性患者切除寰椎与枢椎间的高难度椎管内外沟通性肿瘤。该手术攻克上颈椎“手术禁区”难题,患者术后次日即可下地活动,术后影像显示颈椎稳定性完好,肿瘤实现完整切除。
患者因头颈部疼痛持续两年来到哈医大一院就诊,经检查确诊为寰椎与枢椎间哑铃形椎管内外沟通性肿瘤,大小约4.5厘米。上颈椎区域解剖结构复杂,脊髓掌控颈部以下运动、感觉及大小便、呼吸功能,被医学界公认为“生命禁区”;且肿瘤跨越椎管内外,内侧压迫脊髓、外侧紧邻椎动脉,术中稍有不慎便可能导致四肢瘫或致命性出血。传统手术还需大面积剥离椎旁肌肉、咬除骨质,易破坏颈椎稳定性,术后常出现颈部僵硬、肌肉萎缩等并发症。

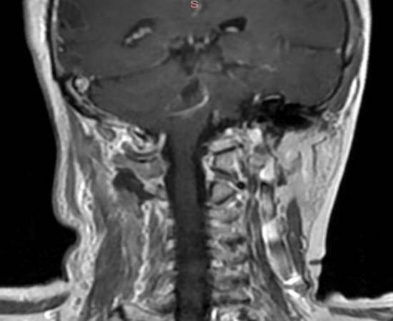
图1:术前影像检查提示肿瘤位于上颈椎颈1-2之间,椎管内外沟通肿瘤
面对高风险挑战,神经外科脊髓脊柱组组长陈晓丰教授团队创新采用“神经导航+微创通道锁孔”技术组合。神经导航系统如同“透视眼”,将术前影像数据导入后可实时定位手术路径与病灶位置,误差控制在毫米级;微创通道锁孔入路通过自然肌肉间隙进入,避免软组织损伤,实现椎旁肌肉“零损伤”,最大程度保留颈椎稳定性。

图2:术前神经导航规划手术入路
手术中,陈晓丰教授在患者颈部通过一约2.5厘米长切口,精细分离肌肉间隙,建立微创工作通道,在显微镜和神经内镜的双重辅助下,手术团队清晰辨认出肿瘤与椎动脉及脊髓的边界,小心翼翼分离粘连部位,完整移除了哑铃形肿瘤。 患者术后第二天即可下地活动,实现加速康复外科理念。术后影像学检查显示颈椎稳定性完好,肿瘤完整切除,无需额外内固定。

图3:微创通道经肌肉间隙keyhole入路切除椎管内外巨大肿瘤,手术切口2.5厘米

图4:术后72小时复查肿瘤切除完整,无肿瘤残留

图5:术后3天患者康复出院
据陈晓丰教授介绍,该技术为脊髓肿瘤治疗提供了创新性方案,其微创优势可显著降低麻醉与手术风险,尤其适用于高龄或合并基础疾病的患者,同时避免昂贵内固定植入,提升患者术后生活质量。目前,哈医大一院神经外科作为黑龙江省区域脊髓脊柱疾病诊疗中心,已将该微创技术应用于颈椎病、腰椎病及各类脊髓肿瘤治疗,让更多患者受益于精准微创医疗。(完)




