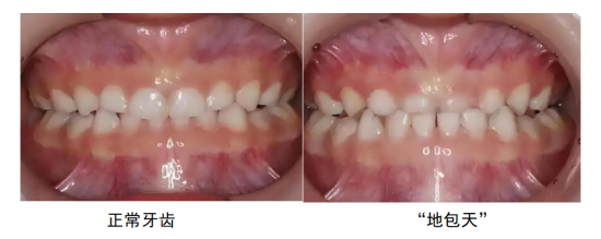
中新网黑龙江新闻12月16日电(刘璐)在儿童口腔发育过程中,牙齿的正常咬合不仅关系到日常咀嚼和口腔健康,还会影响颌面部的生长发育与颜值走向。正常情况下孩子的牙齿咬合有着固定的生理结构:上排牙齿会自然覆盖住下排牙齿,就像盒子的盖子严丝合缝包裹盒身一般,既能保障咀嚼效率,也能引导颌骨正常发育。但有一种常见的错𬌗畸形却会打破这种平衡,那就是家长们常说的“地包天”,医学上称之为反𬌗。
家长可以通过一个简单的小方法帮孩子判断咬合是否正常:让孩子轻轻咬合上下牙齿,正常状态下是上牙在外、下牙在内;若出现下牙在外、上牙在内,下排牙齿反过来包住上排牙齿的情况,就说明可能存在“地包天”问题,需要家长提高警惕了。

那么为什么宝宝的小牙齿会“造反”变成地包天呢?
儿童口腔科医生总结了几大常见诱因:
1.遗传因素:如果父母或家族中有地包天的情况,宝宝发生的概率会相对较高。
2.不良口腔习惯:
吮指习惯:长期吮吸拇指或其他手指,可能对牙齿和颌骨施加异常力量。
咬上唇习惯:会干扰正常的牙齿和颌骨发育,打破口腔内外肌肉力量的平衡,使下颌前移或上前牙内收,形成地包天。
不良伸舌习惯:舌头经常向前伸,可能对下颌产生向前的推力,增加“地包天”的发生风险。
不良喂养姿势:如长期仰卧喂奶,奶瓶角度过高,宝宝需要下颌前伸才能吸吮。
3.颌骨发育异常:上颌骨发育不足或下颌骨发育过度,直接导致牙齿排列异常。
4.乳牙萌出替换异常:如乳牙早失、滞留,或恒牙萌出位置异常等。
5.疾病因素:如扁桃体肥大、腺样体肥大等,导致呼吸道不畅,宝宝可能张口呼吸,长期影响颌面部发育。
在儿童口腔科的日常诊疗中,医生常会遇到家长问“什么时候矫正最合适”。
这里要划重点:
一旦发现孩子咬合异常,就要到儿童口腔科咨询专业医生。
不同阶段干预效果天差地别:
乳牙期(3-5岁):如果孩子配合,这是第一个黄金干预期。医生可以用一些简单的活动矫治器来纠正。
替牙期(6-12岁):这是治疗“地包天”最关键、最有效的时期。孩子的颌骨还有生长潜力,通过矫正可以引导面部骨骼向正常方向发育。
家长一定要记住:
千万不要等到孩子所有恒牙都换完再去矫正!那时孩子的脸型基本定型,这不仅会让矫正难度大幅提升,还会导致治疗周期延长,相应的治疗成本也会增加。
最后给家长们整理了一份极简行动指南,帮助大家科学应对宝宝地包天问题:
看:日常观察孩子咬合状态,发现“下牙包上牙”的情况就要警惕;
查:第一时间去正规医院的儿童口腔科或正畸科做专业检查;
早:干预越早,治疗方法越简单,不仅能排齐牙齿,还能“导正”脸型,减少孩子后续治疗的痛苦。
宝宝的牙齿排列和颌面部发育,不仅影响着口腔健康与咀嚼功能,更和未来的面部颜值息息相关,地包天绝不是可以忽视的“小瑕疵”。家长们只要把“早发现、早检查、早干预”这几个字记在心里,一旦察觉孩子咬合异常,就及时到正规医院的儿童口腔科就诊,就能最大程度降低矫正难度,帮宝宝轻松告别“地包天”。
黑龙江省口腔医院儿童口腔科依托专业诊疗团队,针对乳牙期、替牙期孩子的不同口腔状况,量身打造专属矫治方案,兼顾治疗效果与孩子的诊疗体验,助力每位宝宝拥有整齐牙齿,自信茁壮成长。(完)




